-
¿Qué son los senos maxilares?
Son unas bolsas de aire que están situadas detrás de las mejillas, bajo los ojos y a la par de las fosas nasales.
-
¿Qué es una elevación de seno maxilar?
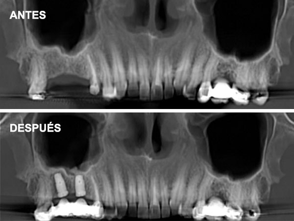
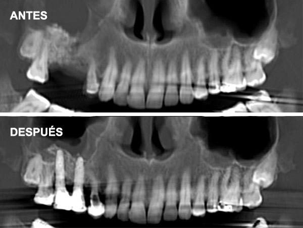
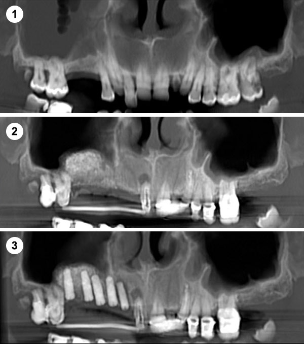
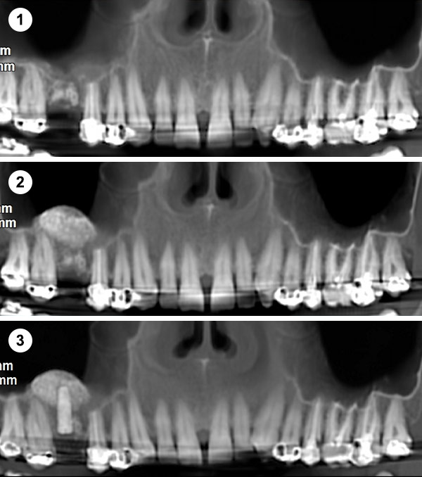
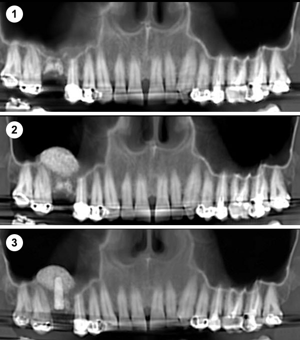
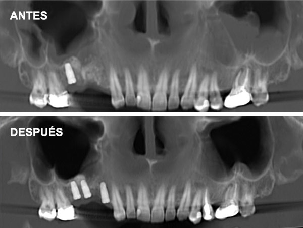
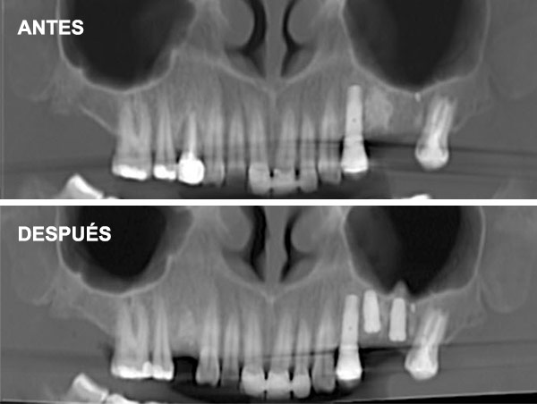
Esta técnica consiste en aumentar la altura y anchura del hueso en los maxilares introduciéndonos en el seno para conseguir una base ósea que permita la colocación de implantes.
Es un procedimiento sencillo que se realiza con anestesia local. Se practica una pequeña incisión a la altura de las raíces de los molares y premolares del maxilar superior, se crea una ventana en el hueso para acceder a la cavidad sinusal y se eleva la membrana para colocar un injerto de hueso en el suelo del seno maxilar.
-
¿Cuándo está indicada?
Cuando no hay hueso ni distancia suficiente entre el maxilar superior y el seno (altura menor a 5 mm) que imposibilita la colocación de implantes.
-
¿Qué material se usa para las elevaciones de seno maxilar?
Se coloca una membrana y un injerto de hueso liofilizado, un compuesto de procedencia bovina que actúa como osteoinductor (Bio-Oss), así una vez colocado induce al hueso a formar nuevas células. Lo que se intenta hoy en día es encontrar una buena calidad de injerto para acortar el período de formación de hueso. También se coloca una membrana sobre este injerto.
Hay muchos biomateriales para inducir la formación de hueso, de distinta calidad y técnica en la elaboración.
En Clínica Sada, utilizamos el mejor biomaterial que científicamente está demostrado para la formación de hueso, Bi-Oss.
-
¿Qué es la Elevación Traumática?
Se realiza a través de una apertura lateral en la pared del seno maxilar (ventana lateral). Este enfoque permite un acceso directo a la membrana sinusal para su elevación.
Indicaciones: Se emplea en casos donde la cantidad de hueso residual es muy escasa (<5 mm) o cuando se necesita un aumento significativo del volumen óseo.
Permite una visualización directa y control del procedimiento. Útil para grandes reconstrucciones óseas.
-
¿Qué es la Elevación Atraumática?
Se realiza a través de la misma osteotomía de colocación del implante, utilizando fresas o dispositivos especiales para levantar la membrana sinusal de manera indirecta.
Indicaciones: Se recomienda cuando existe una altura de hueso residual moderada (alrededor de 5-8 mm) y el aumento necesario no es muy grande.
Es menos invasiva, con una recuperación más rápida y menor riesgo de complicaciones y molestias postoperatorias.





